Hậu Quả Khi Mất Răng Số 3 Và Cách Phục Hình Hiệu Quả
Mất Răng Số 3: Hậu Quả, Nguyên Nhân Và Cách Phục Hình Hiệu Quả Tại Nha Khoa Adent
Răng số 3 là một trong những chiếc răng rất quan trọng trên cung hàm. Nếu bị mất răng số 3, sẽ có rất nhiều vấn đề răng miệng xảy ra, và ảnh hưởng đến cấu trúc khuôn mặt. Vậy mất răng số 3 nguy hiểm như thế nào? Và cách khắc phục ra sao? Hãy cùng Nha Khoa Sài Gòn ST tìm hiểu chi tiết qua bài viết sau!
1. Răng số 3 là gì? Vị trí ở đâu?
Răng số 3 hay còn gọi là răng nanh, nằm ở vị trí giữa răng cửa và nhóm răng hàm nhỏ. Mỗi hàm có 2 chiếc, tổng cộng 4 chiếc trong khung hàm. Răng có hình dạng mũi nhọn, chân răng dài, và chắc khỏe hơn các răng khác. Răng này có vai trò như:
Hậu Quả Khi Mất Răng Số 3 Và Cách Phục Hình Hiệu Quả
Xé thức ăn
Duy trì sự cân đối hai bên cung hàm
Giữ vững cấu trúc mô mềm của vùng má và môi
Hỗ trợ phát âm chuẩn, đặc biệt các âm bật hơi
Tạo đường cong thẩm mỹ cho nụ cười
Bởi vì có vai trò quan trọng và đa dạng như vậy, khi bị mất răng số 3, khung hàm sẽ chịu nhiều hệ lụy hơn khi mất một số răng khác trong hàm.
2. Hậu quả khi mất răng số 3 ?
Đa phần, mọi người sẽ thường chủ quan và cho rằng mất 1- 2 chiếc răng sẽ không gây ảnh hưởng gì quá nhiều. Tuy nhiên thực tế cho rằng, khi riêng răng số 3 bị mất hậu quả khá là nghiêm trọng bởi vị trí và chức năng đặc thù của nó.
Bị Mất Răng
2.1. Ảnh hưởng thẩm mỹ cấu trúc khuôn mặt
Răng nanh có vai trò giữ mô mềm cho vùng má và môi. Khi mất răng số 3 sẽ xảy ra tình trạng:
Vùng má bắt đầu hóp nhẹ và chảy xệ
Khóe miệng dễ bị kéo xuống
Khuôn mặt trở nên già hơn so với tuổi thật
Đây là lý do bác sĩ luôn khuyến cáo không nên để mất răng số 3 quá lâu.
2.2. Giảm khả năng cắn xé thức ăn
Răng số 3 chính là “lưỡi dao” của cung hàm. Khi thiếu răng này sẽ:
Khó cắn xé những thực phẩm như: dai hay giòn
Giảm lực nhai rõ rệt
Khả năng nghiền xé thức ăn kém gây ảnh hưởng đến tiêu hóa
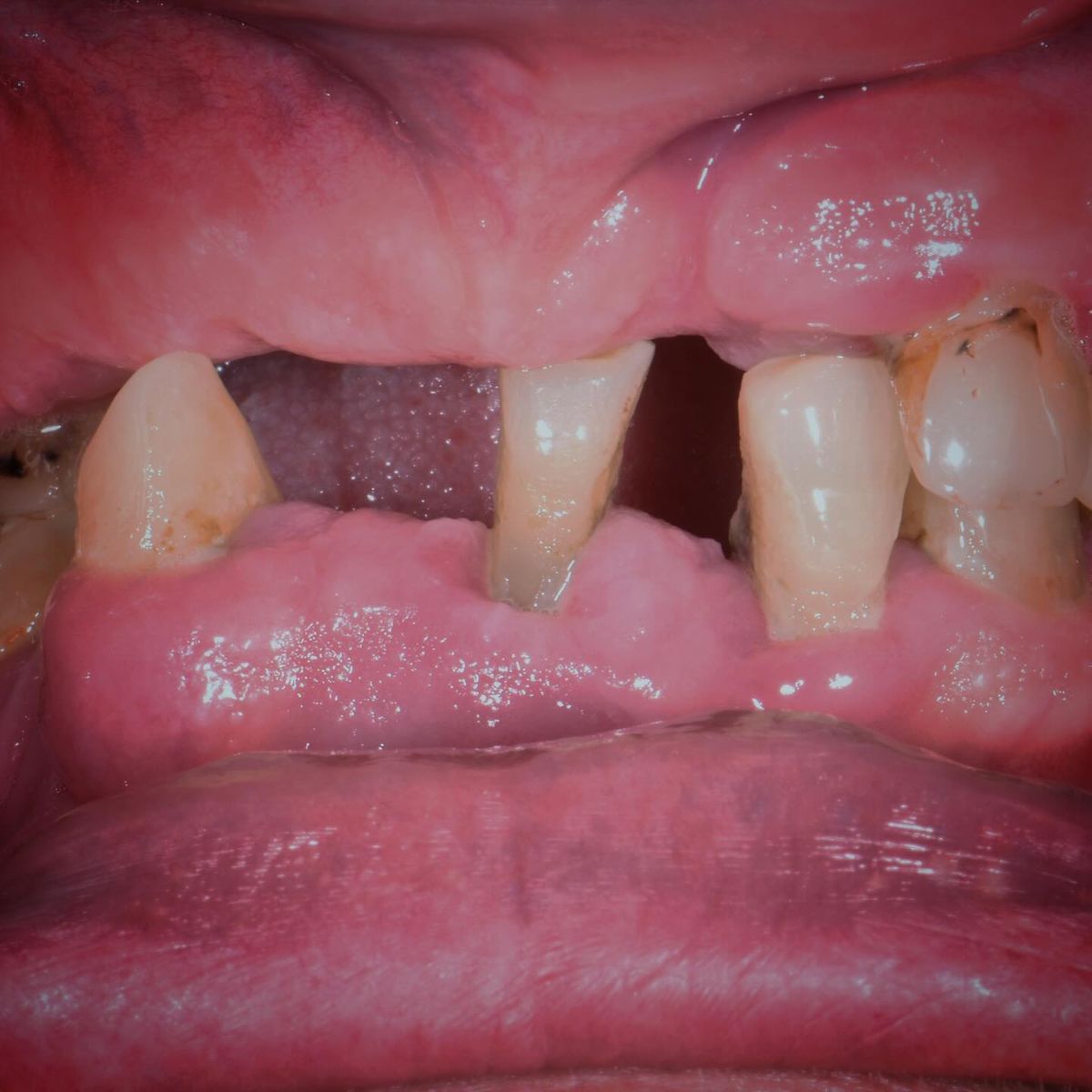
2.3. Răng bên cạnh bị xô lệch & sai khớp cắn
Hậu Quả Khi Mất Răng Số 3 Và Cách Phục Hình Hiệu Quả
Khi mất răng sẽ tạo ra khoảng trống gây hậu quả:
Răng số 2 và răng số 4, dần bị nghiêng về khoảng trống
Gây lệch hàm, đau khớp thái dương hàm
Khi phục hình lại sẽ khó hơn vì răng đã bị lệch nhiều
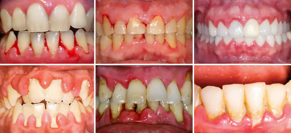
2.4. Dễ mắc các bệnh lý răng miệng
Khoảng trống khi bị mất răng rất khó vệ sinh, tạo điều kiện cho vi khuẩn tiến triển và xâm lấn gây ra các bệnh lý như:
Nếu không khắc phục và để trong thời gian dài, tình trạng sẽ lan rộng sang vùng răng bên cạnh.
Hậu Quả Khi Mất Răng Số 3 Và Cách Phục Hình Hiệu Quả (1)
Đây là hậu quả gây nguy hiểm nhất khi mất răng số 3. Khi răng không còn chân răng thì sẽ không còn lực nhai, gây ra tình trạng xương hàm tiêu dần theo thời gian. Gây ra hậu quả:
Mặt bị hóp
Da chảy xệ
Khó trồng răng lại (phải ghép xương)
Lão hóa sớm
Tiêu Xương Hàm Là Gì Nguyên Nhân Và Giải Pháp Ngăn Ngừa
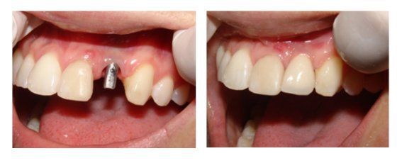
3. Giải pháp khắc phục mất răng số 3 tại Nha Khoa Sài Gòn ST
Tùy vào từng nhu cầu, tình trạng xương hàm và tài chính của mỗi người, bác sĩ sẽ tư vấn và chữa trị phương pháp phù hợp sau:
Hậu Quả Khi Mất Răng Số 3 Và Cách Phục Hình Hiệu Quả
Implant được đánh giá là phương pháp phục hình lý tưởng cho răng số 3 vì:
Khôi phục chân răng và thân răng như răng thật
Không phải mài răng hay gây ảnh hưởng cho răng bên cạnh
Ngăn chặn tình trạng tiêu xương hàm
Độ bền lên đến 20 năm hoặc trọn đời, nếu được chăm sóc và vệ sinh tốt
Đảm bảo tính thẩm mỹ và tự nhiên
Ăn nhai như răng thật
Đối với trường hợp mất răng lâu năm, khiến xương bị tiêu nghiêm trọng. Bác sĩ tại Nha Khoa Sài Gòn ST sẽ áp dụng phương pháp ghép xương, hoặc nâng xoang trước khi đặt trụ Implant.